1. TOP
  2. 診療案内
  3. 小児矯正

小児矯正

Pediatric Orthodontics

「正しい機能」を育てることが、きれいな歯並びへのいちばんの近道です。
子どもの歯並びのトラブル(不正咬合)は、
単に「歯が並ぶスペースが足りない」ことだけが原因ではありません。
多くの場合、呼吸のしかた、舌の位置や動かし方、
飲み込み方、姿勢、お口のまわりの筋肉の使い方など、
日常の中にある“機能(クセ)“が大きく関わっています。
当院では、生まれ持ったお口の機能を大切にしながら、
子ども本来の正しい成長力を引き出す小児矯正を行っています。

当院の矯正は
「口腔機能育成」を
軸にしています

当院の矯正は「口腔機能育成」を軸にしています

当院では、単に歯を動かす矯正ではなく、

  • ・正しい鼻呼吸
  • ・正しい舌の位置
  • ・正しい飲み込み
  • ・バランスの良いお口の筋肉
  • ・顎の健全な成長

これらをバランスよく育てる「口腔機能育成型の小児矯正」を行っています。
歯並びは“育てる”もの。
小児期だからこそできる、将来への大きな投資です。

治すのは
歯並びだけではなく
「口腔機能」

なぜ口腔機能が大切なのか?

なぜ口腔機能が大切なのか?

「口がポカンと開いている」「舌が前に出る」「よく噛めない」「指しゃぶりが長く続いている」などの状態が続くと…

  • ・歯並びがガタガタになる
  • ・上顎が狭くなり、いびきや口呼吸を招く
  • ・飲み込みや発音に影響する
  • ・集中力の低下や姿勢の乱れにつながる

など、成長に大きな影響を及ぼします。
機能の改善なくして、良い歯並びの安定はありません。

筋機能訓練

  • マイオブレイスアクティビティとは?

    マイオブレイスアクティビティとは?

    マイオブレイス専用のアクティビティを用いて、

    • ・鼻呼吸
    • ・正しい舌の場所(スポット)
    • ・正しい嚥下(飲み込み)
    • ・口輪筋の使い方
    • ・姿勢の改善

    を、アニメーションや専用ツールを使って楽しく身につけるトレーニングです。

  • 親子で取り組むことが「必須」です

    親子で取り組むことが「必須」です

    この治療は、
    保護者の方が装置の管理・トレーニングのサポートを理解し、一緒に取り組んでいただくことが成功の鍵になります。

    • ・装置を毎日正しく使う
    • ・トレーニングを継続する
    • ・お子さまが楽しんで取り組めるよう声かけをする

    親子で継続することで、歯並びの土台となる「正しい機能」が確実に身につきます。

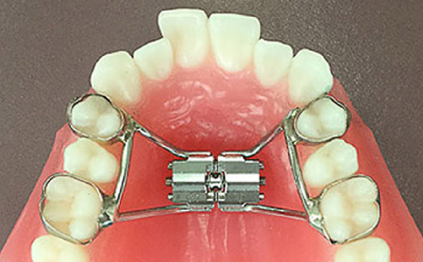
顎顔面矯正:
顎の正しい成長を促す治療

顎顔面矯正:顎の正しい成長を促す治療

不正咬合の多くは、顎の成長不足(特に上顎の狭さ)が根本原因です。
顎顔面矯正では、成長期の特性を活かして「上顎を広げる・気道(鼻の通り)を広げる・舌が正しい位置に収まるスペースを作る」ことを目指します。
その結果、

  • ・歯を抜かずに矯正できる可能性が高まる
  • ・永久歯の並ぶ場所を確保できる
  • ・顔立ち・鼻の通り・姿勢にも良い影響がある
  • ・後戻りが少ない(機能改善とセットの場合)

といったメリットがあります。

小児矯正費用

  • 検査・診断料
  • ¥33,000
  • 基本施術料
  • ¥550,000
  • 外科矯正
  • ¥110,000

まずは相談から

不正咬合は“早期発見・早期対応”が何より大事です。
お子さまに不安な点があるのであれば、早めの相談をおすすめします。

お子さまの成長に合わせて最適な方法をご提案します

お子さまの成長に合わせて
最適な方法をご提案します

  • ・マイオブレイスが合うのか?
  • ・顎顔面矯正が必要か?
  • ・そもそも矯正が必要なのか?
  • ・トレーニングは続けられそうか?

お子さま一人ひとりの成長のステージを見ながら、最適なプランをご提案します。
親子で“楽しく続けられる矯正治療”を、当院がお手伝いします。